小児予防
▲下線部をクリックすると、その項目までジャンプします
お子様の歯を守るために…
生涯健康な歯で過ごす… お子様をむし歯から守ることができるのは、ご家族です!
お子様のお口の中には「乳歯」と呼ばれる、いわゆる”子供の歯”が生えています。乳歯は、永久歯(大人の歯)に比べると弱く、むし歯になりやすいのが特徴です。なので、一度むし歯になってしまうと、すぐに進行してしまいます。また、生えてきたばかりの永久歯は未成熟なので、むし歯になりやすくなっています。なので、ご家族の方がお口の中をチェックしたり、定期的に歯科医院へ行くことが大切です。生涯歯を守るために、そして怖いむし歯の治療を受けなくて済むように、中澤歯科では予防に力を入れています。
むし歯は細菌による感染症
生まれたばかりの赤ちゃんのお口の中は無菌状態で、むし歯菌はいません。しかし、大人のお口の中には、たくさんの細菌がいます。その細菌は唾液を介して感染してしまうので、お子様に口移しで食べ物を与えたり、スプーンや箸の共用、キスなどで感染してしまう恐れがあります。
保育者からお子様にむし歯菌が感染するのは、生後19ヶ月~33ヶ月の時期であることがわかっています。この時期に感染を防ぐことができれば、その後むし歯の本数が少ないと言われています。
しかし、神経質になったり、スキンシップがとれないのは寂しいですよね。ですが、ご家族の方のお口の中をきれいに保つことで、ある程度防ぐことができることがわかっています。一緒にご家族の方の受診をしてみませんか?当院では、ご家族の方のむし歯や歯周病の予防プログラム(大人用)も用意しております。
予防プログラム(小児用)
①赤染めによる染め出し
染め出し液
お口の中には、プラーク・歯垢(しこう)と呼ばれる細菌の塊がついています。プラークを放っておいてしまうと、むし歯、歯周病などの細菌が増加していきます。
プラークは白いので、どこに残っているのか確認できるように、赤く染め出していきます。
②ブラッシング指導
患者様のお口の中は、それぞれ違います。患者様一人一人にあった歯ブラシなどで歯磨きの仕方を練習していきます。
毎回染め出しを行い、残りやすい部分や苦手な部分を見つけ練習することにより、みなさん上手になっていきます。
歯が赤く染まっているところが磨き残し、つまりプラークがついているところです。来院されたばかりの頃は、上手く磨けなかったこの患者様も、今ではこんなにきれいに磨けるようになりました。そして、永久歯のむし歯は0本です!
また、お子様自身では不十分なところがあるので、ご家族の方による”仕上げ磨き”が重要になってきます。乳歯が永久歯にすべて生え変わるまでは、仕上げ磨きをしてむし歯から歯を守りましょう。
この2人の写真は、兄弟のお口の中です。お母様がしっかり仕上げ磨きを行っているため、染め出しをしたときに、きちんと汚れが落とせているのがわかります。
お母様は妊娠前から予防プログラム(大人用)で来院されてます。そのため、お口の中の環境が良く、お子様への細菌感染も少なかったため、ご家族でむし歯のない健康なお口を維持できています。
③歯科衛生士によるプロフェッショナルケア
歯の表面には、歯ブラシでは落としきれないバイオフィルムがついています。そのため、歯科医院専用の器械を使って落とす必要があります。これをPMTC(Professional Mechanical Tooth Cleaning)と言います。
PMTCには
むし歯予防や歯周病の予防や改善
歯質の強化とともに、歯の着色を除去
光沢のあるきれいな歯を保つ
などの効果があります。
④フッ素塗布
フッ素は自然界に存在する物質です。
フッ素には、歯の質を強くする、溶けた歯質を元に戻す(再石灰化)、プラークの生成を抑え、酸を作らないようにするといった効果があります。ドラッグストアなどで売っているものと違い、歯科医院での塗布は高濃度のフッ素を塗布することができます。また、お家でも歯磨き剤に含まれているような低濃度のフッ素を毎日使用していただくと、より予防効果が上がります。
むし歯のリスク検査
むし歯の原因は、むし歯菌(ミュータンス菌)が歯に付着し、食べ物の中に含まれる糖分を分解して酸を産生することが原因です。この酸が、歯を溶かしてしまうことでむし歯が発生します。
では、どのむし歯の原因の要素が高いのか?
お口の中の状態を知ることで、それぞれのお子様に合った予防プログラムを提案することができます。
<むし歯の危険度を判定する8つの要素>
◎唾液の分泌量
◎唾液緩衝能(溶けた歯を元に戻す力)
◎細菌数(ミュータンス菌数)
◎むし歯経験
◎プラーク(歯垢)の量
◎食生活習慣
◎歯磨きの方法
◎フッ素の使用状況
時間は15分くらいで、費用は3,150円です。
これらの危険因子をしっかり知ることで、効率良く確実なむし歯予防プログラムを作り、実行してむし歯のないお口を目指しましょう。
患者様のお口の状態に合った予防プログラムのおかげで、1年後の再検査では改善が見られます。より良いお口の状態を目指して、今日も一緒に頑張っています!
中澤歯科に通われている患者様が”健歯児”(むし歯がなく歯並びがきれいな児童)に選ばれ、小学校の代表となり入賞しま した!これからも歯を大切にして、健康な歯を維持しましょうね。
むし歯予防は妊娠期から
ご家族のみなさんのお口の中をきれいにすることで、生まれてくる赤ちゃんの歯をむし歯から守ることができます。
妊娠中から、赤ちゃんのむし歯予防を始めることで、将来のむし歯予防もラクになります。
予防で大切なことは、むし歯菌に感染しないこと。原因菌にうつらないにこしたことはありません。また、感染時期が遅ければ遅いほど、むし歯は軽症と言われています。
そして、感染しても悪さをしない菌に変えてしまうこと。
通常、歯の表面に付いているプラークには”善玉菌”が約10~15%と”悪玉菌”が約85~90%住んでいます。
悪玉菌は糖を分解して酸を産生します。つまり、むし歯の原因を作ります。そしてネバネバ成分を出して歯の表面にしっかり付着します。しかし、善玉菌はネバネバ成分を出さないので、歯ブラシで簡単に落とすことができます。そのため、むし歯の原因になりにくいのです。
悪玉菌をうつっても悪さをしない善玉菌に変えましょう!
キシリトールをご存知ですか?コンビニなどで”キシリトールガム”という商品などで見かけたことがあると思います。このキシリトールが悪玉菌を善玉菌に変える手助けをしてくれます。薬物ではないので、妊娠中に摂取しても安全です。

日本フィンランドむし歯予防研究会HP より
妊娠中、つわりなどで歯みがきが上手くできないことがあると思います。そんな時、キシリトールを摂っていただくと、お母さん自身の口腔内の改善にもなり、赤ちゃんのむし歯予防もできる…まさに一石二鳥です!
キシリトール配合の商品
噛むことの大切さ
噛むという動作は、食べ物を身体に入れるだけではありません。全身の状態を良くするために、重要な働きをしています。
<噛む8大効果>
①歯の病気を防ぐ…噛むと唾液が分泌されるので、むし歯や歯周病を予防することができる
②言葉の発音がはっきりする…口の周りの筋肉が発達するため、きれいに発音することができる
③味覚の発達…良く噛んで味わうことにより、食べ物を味わうことができる
④脳の発達…脳細胞の働きを活発にする
⑤全身の体力向上と、力を込めることができる
⑥胃腸の働きを促進…消化酵素がたくさん出て、消化を助ける
⑦肥満予防…満腹中枢を刺激して、食べ過ぎの予防
⑧ガン予防…唾液の中に、発ガン物質の発がん作用を消し働く
さらに歯並びが悪いと…
◎顎の骨の成長、筋力の発達に影響を与える
◎顎関節に負担をかけてしまい、顎関節症の恐れがある
◎筋力のバランスが崩れ、姿勢が悪くなる
といった障害を引き起こしてしまいます。見た目の美しさだけでなく、機能面からも歯並びを考えてみませんか?
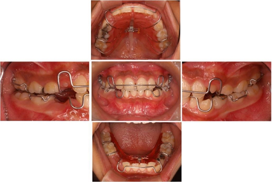
小児矯正
拡大装置
歯列矯正により、正しい噛み合わせ(咬合)を得ることができます。ですか、まだ成長途中のお子様には矯正装置を付けるのではなく、歯を並べるためのスペースを広げる「拡大装置」を使用します。歯列の横幅を横に広げることを目的としています。
装置の真ん中にネジがあるので、1週間に一度ネジの幅を広げて力を加えることにより、歯を支える骨を押し上げる構造になっています。
この拡大装置だけで改善することもありますが、永久歯に生え換わったら本格矯正に移行するすることが多いです。
小児矯正-治療例
<Before>
<After>

永久歯の生えるスペースがきちんとできました。
乳歯のむし歯を放っておくと…
「乳歯がむし歯になっても、そのうち抜けて永久歯が生えてくるから治療しなくても大丈夫」と思っていませんか?
乳歯がむし歯になってしまったいうことは、むし歯になる原因があるということです。その原因を改善しなければ、永久歯になったときに、またむし歯になっていしまいます。
どのような悪影響があるかというと、永久歯は乳歯を目標に生えてくるので、むし歯で歯を失ってしまうと正しい位置に生えてこれなくなってしまいます。また、抜けたスペースがあると歯が動いてしまい、永久歯が生えるスペースがなくなり、歯並びにも影響が出てしまいます。
また、むし歯で歯に穴が開いてしまうと、しみる、食べ物が詰まって痛いといった症状が出てきます。すると、噛まずに食べてしまったり、柔らかい食べ物を選ぶようになります。きちんと噛むことが出来ないと、顎の骨やお口の周りの筋肉の成長に悪影響を与えてしまいます。
そして、むし歯が深く進行してしまって根の先に膿などを作ると、乳歯の下でつくられる永久歯の歯胚(歯のたまご)に障害が出てしまい、変色やひどい時には死んでしまう恐れがあります。
早めの治療をおすすめします。







