顕微鏡歯科
▲下線部をクリックすると、その項目までジャンプします
顕微鏡歯科とは
顕微鏡歯科とは、その名の通り顕微鏡を用いた、精密で繊細な治療です。
もともと歯科治療は非常に繊細な治療を行うのですが、時には肉眼では見づらく判断しにくい場合も出てきます。そこで治療を行うにあたって、拡大視野下における治療が必要になってきます。そんな時に欠かせないのが『マイクロスコープ』です。何倍にも拡大された視野で治療を行えるので、質の高い治療を行うには必要不可欠です。
マイクロスコープは、日本でまだわずかな歯科医院にしか導入されておりませんが、顕微鏡歯科に大活躍します。
マイクロスコープミラーレステクニック
鏡筒が左右に振れるマイクロスコープを使用します。
一般的な12時のポジション(患者さんの頭の真後ろ)からの治療です。
歯科用のミラーを併用しなければ、奥歯の歯と歯の間などへの治療ができません。
鏡筒を傾けて10時のポジション(患者さんの頭の右斜め後ろ)からの治療です。
歯科用のミラーを使わなくても、患部を直視しながら治療することができます。
当院では、定期的にAMED(アメリカマイクロスコープ学会)に参加し、このようなテクニックを日々研鑚しております。
マイクロスコープを使った症例(動画)
マイクロスコープを使った根管治療
治療のすべてを明視野の元に行っております。
勘に頼った手探りの治療は致しません。
マイクロスコープを使った保険治療での支台歯形成と寒天印象
保険治療でも、全く手を抜かずに完璧な治療を心がけています。
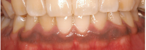
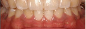
メラニン色素沈着の除去
マイクロスコープとEr:YAGレーザーの併用で、術後の痛みもほとんどありません。

-
▶

削らない虫歯治療
このくらいの虫歯であれば,無麻酔で治療を行えます。
痛みも音もないので、お子様や歯医者嫌いの方にとてもいい方法です。
















