インプラント治療例(1歯欠損の例)
1歯欠損をインプラントで補った場合のケースをご紹介します。
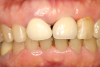
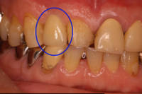
80代女性|前歯の場合
インプラント埋入
アバットメント装着
補綴物装着
◆治療内容
前歯にインプラントを1本埋入し、アバットメントを装着。
最終的な補綴物を装着しました。
◆リスク
・自費診療となるため、保険診療と比べて高額になる
・インプラントを入れた歯でも、メインテナンスを怠ると、インプラント周囲炎になるリスクがある
◆治療費
自由診療 1本350,000円(税別)
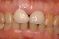
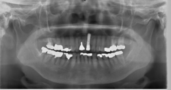
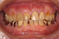
70代男性|前歯の場合
インプラント治療前
インプラント埋入
補綴物装着
コンピュータによるシミュレーション
◆治療内容
前歯にインプラントを1本埋入し、アバットメントを装着。
最終的な補綴物を装着しました。
◆リスク
・自費診療となるため、保険診療と比べて高額になる
・インプラントを入れた歯でも、メインテナンスを怠ると、インプラント周囲炎になるリスクがある
◆治療費
自由診療 1本350,000円(税別)















