レーザー治療
▲下線部をクリックすると、その項目までジャンプします
Perio Wave(ぺリオウェーブ)
光殺菌(PDT)による、最新の歯周病菌殺菌システムです。
メチレンブルーを主成分としたバイオジェルで細菌を染色し、無熱の赤色光と化学反応させる事で活性酸素を発生させ細菌を死滅させます。
インプラント周囲炎に対しても効果的で、現在世界が注目している最先端の光殺菌技術です。
Perio Wave(ぺリオウェーブ)の効果
左の画像が照射前です。一日でここまで治癒しました。
照射前
照射後
業界でも注目される効果
Perio Wave(ぺリオウェーブ)の効果は、業界でも注目されています。
月刊デンタルダイヤモンド【2011年7月号】でも紹介されました。
治療内容
感染部位の再婚を選択的に殺菌処理します。
考えられるリスク・副作用
・1回照射では細菌をすべて死滅させることが難しく、何回か照射を継続する必要も出てくる。
・プローベの過度の侵入による外傷が考えられる。
治療にかかる費用
保険適用外 1,000円/1回照射
Er:YAGレーザー
モリタ社製Er:YAGレーザー装置
「アーウィン アドベール」
Er:YAGレーザーは、エネルギーが特異的に水に吸収される特性を持っています。
これは、CO2レーザーの約10倍、Nd:YAGレーザーや半導体レーザーの約100~1000倍ともなります。
Er:YAGレーザーのエネルギーが水に吸収されると、液体の水は瞬時に蒸発(気化)し、その時の体積膨張は約1500倍以上になります。この物理的な爆発エネルギー(マイクロエクスプロージョン)を利用して、温度上昇を最小限にコントロールしつつ、歯根面・インプラント表面のデブライドメント(プラークや歯石を除去すること)や炎症性肉芽組織を除去することができます。
Er:YAGレーザーの特徴
マイクロスコープとEr:YAGレーザーを併用した虫歯除去
このくらいの虫歯であれば,無麻酔で治療を行えます。
痛みも音もないので、お子様や歯医者嫌いの方にとてもいい方法です。
マイクロエクスプロージョンを利用した除去
爆発エネルギー(マイクロエクスプロージョン)を利用して、プラーク等を除去している動画です。
画像をクリックすると、youtubeにジャンプします。
- マイクロエクスプロージョン①
- マイクロエクスプロージョン②
- マイクロエクスプロージョン③
治療内容
対象部位に照射します。
マイクロエクスプロージョン効果により、温度上昇を最小限にコントロールしつつ、歯根面・インプラント表面のデブライドメント(プラークや歯石を除去すること)や炎症性肉芽組織を除去する際に使用します。
考えられるリスク・副作用
・専用のゴーグルを使用しないと視力に影響が出ることもある。
・使用目的によって出力コントロールをしないと火傷など副作用を生じる可能性もある。
治療にかかる費用
保険適用 う蝕無痛的窩洞形成加算 400円
保険適用 手術時歯根面レーザー応用加算 600円
コールドレーザー
コールドレーザーは、熱を出さずに深部まで到達し、細胞の自然治癒力を促進させて患部を治す優れたレーザーです。数分間コールドレーザーを照射する事により、細胞内のプロテインやミトコンドリアが反応し、生体刺激が起こります。その結果、人間が持つ本来の自然治癒能力が高まり、血管、神経、組織の活性・再生が向上します。当院ではこの優れた機材を全国でもいち早く導入し、日々の診療に役立てております。
コールドレーザーLumix2の特徴
コールドレーザーLumix2の特徴に関する動画です。
画像をクリックすると、youtubeにジャンプします。
コールドレーザーLumix2の特徴①
コールドレーザーLumix2の特徴②
治療内容
対象部位に照射します。
5㎝の創傷治癒や疼痛緩和に使用します。
考えられるリスク・副作用
・レーザー光線であるため目への照射により視力に影響する可能性がある
・術者サイド、患者サイド共に専用ゴーグルを使用する必要がある。
治療にかかる費用
保険適用外 500円/1回照射
各種レーザーを併用した例
これまでご紹介したレーザーを併用することで、より効果的な治療が可能となります。
垂直性骨吸収+α-TCP
Perio Wave +Er:YAGレーザー+コールドレーザーの例です。
画像をクリックすると、youtubeにジャンプします。
Perio Wave+Er:YAGレーザー+コールドレーザーで治療した箇所の経過です。
左から直後、1ヶ月経過時、2ヶ月経過時の画像です。
floating teeth
Perio Wave+コールドレーザーの例です。
画像をクリックすると、youtubeにジャンプします。
Perio Wave+コールドレーザーで治療した箇所の経過です。
左から直後、1ヶ月経過時、2ヶ月経過時の画像です。
抜歯のう胞摘出
Perio Wave+Er:YAGレーザー+コールドレーザーで治療した箇所の経過です。
左から直後、1ヶ月経過時、2ヶ月経過時の画像です。
骨再生の確認をした際の動画です。
画像をクリックすると、youtubeにジャンプします。
骨再生
骨再生した箇所にインプラントを埋入します。
CTで治療計画を綿密に練ったうえで行いました。
インプラント埋入の際の動画です。
画像をクリックすると、youtubeにジャンプします。
インプラント埋入
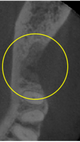
インプラント埋入後のレントゲン画像です。
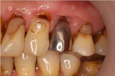
インプラント周囲炎
Perio Wave+Er:YAGレーザー+コールドレーザーの例です。
画像をクリックすると、youtubeにジャンプします。
インプラント周囲炎
左の画像が照射前です。3ヶ月でここまで治癒しました。
インプラント撤去
Er:YAGレーザー+コールドレーザーの例です。
画像をクリックすると、youtubeにジャンプします。
インプラント撤去
Er:YAGレーザー+コールドレーザーで治療した箇所の経過です。
左の画像が照射前です。1ヶ月でここまで治癒しました。








































